Bubrežna i oboljenja mjehura kod zamorčića
Znakovi:
Prvi znakovi oboljenja mjehura ili bubrega u zamorčića su najčešće:
- češće uriniranje
- mokra guza i predio oko anusa
- bolovi prilikom mokrenja - životinjica skviči prilikom mokrenja i drži se zgrbljeno
- krv u urinu (crveni do roza urin)
- bolno glasanje koje se ne može pobliže opisati
- urin ima jak i neugodan miris
Kod već uznapredovalog stanja bolesti dolazi do gubitka na težini, odbijanja hrane, mirovanja, i na kraju, smrti životinjice.
Kamenac i talog u mokraćnom mjehuru
Kunići i zamorčići su nažalost često pogođeni takozvanim Urolithiazisom = kamencima ili talogom u mokraćnom mjehuru. Kod obiju vrsta se nastanak istoga odvija na jednaki način:
Kalcij se u crijevu apsorbira iz hrane. Kod ostalih životinjskih vrsta i čovjeka, apsorbira se samo toliko koliko je potrebno - kod zamorčića i kunića nažalost kompletna količina koja se nalazi u namirnici. Stoga su životinje kod normalne prehrane skoro uvijek opskrbljeni sa viškom kalcija. Nepotrebne količine kalcija se izbacuju putem bubrega, urinom. Tamo se kalcij, zbog visoke PH vrijednosti (= bazna vrijednost kiseline, visoki pH je za kuniće i zamorčiće normalan) pretvara u kristale. To je do jedne određene količine za ove vrste normalno, i naziva se "fiziološka kristalluria". Vlasnicima ovo najčešće upadne u oči po boji urina koje nikad nije bistar već uvijek zamućen.
Normalne vrijednosti i izgled urina za kuniće i zamorčiće
| |
Kunići |
Zamorčići |
Boja |
žućkasto-mutan; moguće obojenje do narančastog, crvenkastog, smećkastog |
žućkasto-mutan; moguća boja narančasto-crvenkasta |
| Konzistencija |
tekući |
rijetko tekući |
Sastav |
visoki sadržaj kristala |
visoki sadržaj kristala |
| pH-vrijednost |
8-9 |
8-9 |
| Miris |
aromatičan |
aromatičan |
Ako se u mokraćnom mjehuru stvaraju kamenčići ili se zbog kristala skupljaju u talog onda se fiziološka kristalluria pretvara u oboljenje. Obje forme, kamenčići i talog, se samo u rijetkim slučajevima pojavljuju skupa istovremeno. Iako svi zamorčići imaju istu izmjenu kalcija u organizmu, ne obolijevaju sve životinje. Razlozi tome mogu biti jednostrana prehrana bogata kalcijem u kombinaciji sa nedostatkom tekućine, sočnih namirnica, kao i pretilost i nedostatak kretanja. Osim toga igra presudnu ulogu i urođena naklonost, iako se znanstveno nije dosad kao takva dokazala.
Simptomi Urolithiazisa su različiti i često ih se kao takve ne može prepoznati. Tipično je da se primjeti bolno uriniranje, životinja istiskuje češće male količine urina, podiže zadnjicu pri uriniranju i zamorčići bolno jauču pri uriniranju. Kod većine životinja se primjeti često mokri zadnji dio, zalijepljen izmetom, i neugodan miris. Stoga se oboljenje često zamijeni za proljev. Životinje zbog bolova manje jedu, čiste se manje i djeluju utučeno. Vlasnik može vidjeti i krv u urinu ili vrlo gusti (zbog taloga) urin. Ima pak životinjica kod kojih oboljenje jako dugo ostane prikriveno jer ne pokazuju nikakve tipične već neke sasvim druge simptome, kao, smanjeno uzimanje hrane, povlačenje u samoću. Često tek veterinar ustanovi Uriolitiazu i potvrdi je ultrazvukom ili RTG, kojima se može ustanoviti stupanj uznapredovalosti, te tako i odrediti terapijski tok.
U najgorem slučaju oboljela životinja više ne može urinirati. To je stanje opasno po život i zahtijeva hitnu veterinarsku intervenciju.
Liječenje
Terapija se određuje ovisno o težini oboljenja. Ako životinje pokazuju simptome upale mjehura, ali mogu urinirati i jedu normalno, onda se prepišu antibiotici i sredstva protiv bolova. Ako su pak životinje prestale jesti ili su vidljivo omršavile, jer je oboljenje dulje prisutno, potrebno ih je ručno prihranjivati i stabilizirati infuzijom krvotok. Ako još samo malo mogu urinirati, onda se mora ovisno o tome da li se radi o talogu ili kamencima, različite metode primjeniti. Talog se može ukloniti takozvanom "ručnom kompresijom mjehura": u tu svrhu se velika količina tekućine unese infuzijom i izbacivanje vode bubrezima stimulira određenim lijekovima. Tada se mjehur, od strane veterinara, masira ručno. Često se mogu na taj način veće količine kristala ukloniti. Ovo "ispiranje" se mora obično više puta ponoviti. Ako se talog ne može osloboditi, onda se mora operativno ukloniti. Ukoliko leži jedan ili više kamenaca u mjehuru, i ukoliko nisu veliki, mogu se pokušati izbaciti terapijom protiv bolova i infuzijom. Ako su pak kamenci preveliki ili je mokraćni kanal začepljen, mora se zamorčić podvrgnuti operaciji. Kateter se stavlja samo u iznimnim slučajevima, jer imaju jako osjetljiv mokraćovod koji se kateterom vrlo lako može ozlijediti. Operacije taloga se smiju provoditi samo u hitnim slučajevima kada je mokraćovod začepljen, jer nastali ožiljci vode do toga da se novi talog puno brže stvara.
Nažalost se ovo oboljenje, usprkos terapije od strane veterinara, ne može izliječiti, jer kako je gore opisano, promjena tvari kalcija se u organizmu ne može izmijeniti. Doduše, poslijedice, kao upala mjehura, problemi kod izbacivanja mjehura i daljnji simptomi se mogu liječiti, ali naklonost stvaranju taloga i kamenaca ostaje uvijek nepromijenjena, te se ta oboljenja uvijek mogu vraćati. Stoga je životinjica kronično bolesna! Ali, vlasnik može jednostavnim načinima, prije svega prehranom, utjecati na izmjenu kalcija u organizmu, po principu "kada životinja unosi malo kalcija, onda se može samo mala količina kalcija taložiti". Pritom je pak jako važno da se životinju ne hrani tako da uopće ili premalo kalcija unosi, jer se time provociraju daljnja oboljenja, kao napr. oboljenja zubi i kostiju.
Slijedeće mjere se mogu u svakodnevnoj njezi poduzeti kako bi se životinji omogućio dug život bez simptoma oboljenja:
- Mineralne soli, kamen za glodavce, koji su zapravo zamišljeni za zdrave zube, su nažalost posve neadekvatni, jer su pre mekani. Najčešće sadrže visoke količine kalcija i stoga povisuju rizik nastajanja taloga i kamenca, a osim toga su i pojedeni u većim količinama, visoko toksični. Stoga ih treba iz nastambi trajno izbaciti!
- Suha hrana i poslastice, osim sijena, moraju biti potpuno ukonjeni i izbjegavani. I hranjenje sa suhom hranom (mješavine žitarica, peleti, šarena miješana hrana i sl.) moraju biti znatno reducirani ili najbolje posve izbačeni iz prehrane. Količina tekućine koju zamorčići pri hranjenju ovom hranom unesu, je uvijek pre mala! Osim toga te namirnice jednostavno jasno i glasno debljaju zamorčiće, što opet povisuje rizik stvaranja taloga i kamenca.
- Namirnice sa lucernom sadrže jako visoki koncentrat kalcija. Često se nude u vidu poslastica ili sijena obogaćenim lucernom. Prehranu sa sadržajem lucerne treba potpuno izbaciti.
- Neke svježe namirnice sadrže jako velike količine kalcija, napr. korabica, cvijetača, brokula, začinske biljke ako peršin, komorač, maslačak, zelenilo od mrkve i kopar. To su zapravo vrlo visoko vrijedne komponente jedne zdrave prehrane glodavaca i ne smiju biti posve uklonjene sa spiska namirnica, ali ih se mora kontrolirano u malim količinama hraniti. Stoga je potrebno povećati količinu namirnica koje sadrže visoke količine vode.
Ako se ponude namirnice bogate kalcijem, mora ih se uvijek kombinirati sa namirnicama bogatim tekućinama, kao, krastavac, rajčica i salate. To vodi do povećanja izbacivanja vode putem bubrega, tako da se razrijeđeni kalcij može isprati iz organizma i uopće ne stigne kristalizirati u mjehuru. Također se može, napr. listove korabe par sati prije hranjenja staviti u vodu, kako bi je upili. Pri tom se opet unosi veća količina tekućine, te se više kalcija izbaci putem urina.
- Davanjem manjih količina C-vitamina u vodu za piće ili hranjenjem namirnicama bogatim c-vitaminom (napr. crvena paprika), može se pH vrijednost urina sniziti (sa 8 do 8,5; niža vrijednost od toga ne bi smjela biti). Time se smanjuje količina kalcija u urinu. PH vrijednost u urinu se može kontrolirati Lackmus-trakicama. Vitamin C u prahu se može dobiti u svakoj apoteci, i dovoljno je količinu koja stane na špicu noža svakodnevno dodati u vodu za piće.
- Glycosaminoglycan se dobiva iz školjaka. Dokazano je da pospješuje zaliječenje sluznice u mjehuru i poboljšava njenu izdržljivost i elasticitet. Svejedno da li u obliku praška ili u tekućem stanju, može se dodavati u hranu. Ovi preparati se mogu dobiti kod veterinara. Više o tome na Wikipediji: Glycosaminoglycan
- Potrebno je davati vodu koja nije bogata kalcijem. Nju se može nabaviti u normalnim samoposlugama. Vidi i pod voda za piće.
- Važno je pokušati pretile životinje omršaviti. Nažalost je to kod kunića i zamorčića jako teško, jer se već hrane vrlo zdravo. Često se redukcija težine može postići samim izbacivanjem suhe hrane i gotovih mješavina, kao i sa povećanjem kretanja. Gubitak na težini se mora uvijek vrlo postepeno i polako provoditi uz redovite kontrole težine.
- I na kraju se mora napomenuti redovita higijena područja anusa. Upravo kod životinja kod kojih promijenjen urin iritira kožu ili lijepi dlaku u tom području, je naročito važno ove dijelove tijela redovito kontrolirati i održavati čistima. Često pomogne dlaku u tom predjelu održavati što kraćom. Ako je koža iritirana ili ranjena, mora se konzultirati veterinara u vezi krema za zacjelivanje i dezinfekcijskih sredstava.
Test urina sa trakicama je jednostavan način kako testirati više tjelesnih funkcija, kao pH vrijednost, prisustvo leukocita (bijelih krvnih zrnaca), nitrita, proteina, glukoze, ketona, urobilinogena, bilirubina, hemoglobina i/ili cijelih crvenih krvnih ćelija.
Za vjerodostojne rezultate se uzima svjež, nekontaminirani urin. U tu svrhu je najbolje životinjicu staviti u čisti transportni boks bez podloge, a prije toga nahraniti namirnicama bogatim vodom.
Normalne vrijednosti: specifična težina 1.010-30; pH 9, leukociti neg, nitriti neg, proteini neg, glukoza neg, ketoni neg, urobilinogen neg, bilirubin neg, hemoglobin/rbc neg.
Tipična primjena: infekcije urinarnog trakta (prisustvo bijelih i crvenih krvnih stanica, nitrita, proteina); kamenci i talog (crvena krvna tjelešca); diabetes mellitus (glukoza, proteini, ponekad ketoni); diabetes insipidus (niska specifična težina); trudničko otrovanje (niski pH, proteini, ketoni); poremećaj funkcije bubrega (niska specifična težina, proteini, hemoglobin); oboljenja jetre i žuči (urobilinogen, bilirubin); hemolitična anemija (hemoglobin, urobilinogen); poremećaj u radu srca (hemoglobin).
Ostala oboljenja
Infekcija mokraćnog mjehura: je infekcija zida mokraćnog mjehura uzrokovana klicama i bakterijama. Pri tome dolazi do svih gore navedenih simptoma, naročito mokri analni predio. Više o upali mjehura: ovdje
Pijesak, talog u mjehuru: u mjehuru se stvaraju mali kristali kalcijuma - talog. Talog je prvi stupanj stvaranja mokraćnih kamenaca, i najčešće se stvara pretjeranim unosom kalcijuma, ali zajedno sa infekcijama i urođenom predispozicijom, kao i smanjenim unosom tekućine. Često se talog u urinu izbacuje u vidu bijelkastog urina, što je u principu zdrava rakcija, te znači da bijelkasti urin nije obavezno znak oboljenja. Zamorčići ne absorbiraju kalcijum prema potrebi, te ako dobiju hranu bogatu kalcijumom, izbacuju i višak istoga preko bubrega. Ako životinje premalo piju, a dobivaju kalcijumom bogatu hranu, to dovodi do stvaranja taloga i pijeska u urinu.
Kamenci u mokraćnom mjehuru: kod kamenaca postoje različite vrste kamenaca, od različitih minerala, ali oni od kalcijuma su najčešći. Predpostavlja se da životinjice moraju imati jednu urođenu predispoziciju stvaranju kamenaca, te prezasićenost kalcijumom zajedno sa infekcijama i premalom unosu tekućine, pojačava opasnost od kamenaca. Mokraćni kamenci uzrokuju najčešće bolove i krv u urinu.
Infekcijska upala bubrega: Infekcija bubrega prouzrokovana bakterijama/klicama. Infekcija uzrokuje jake bolove, gubitak na težini i bezvoljnost, neaktivnost.
Bubrežni kamenci ili talog: Bubreg na RTG snimci izgleda kao svijetla površina i pokazuje jake naslage kamenca. Oni se operativno jako teško daju odstraniti i jako su bolni.
Dijagnoza:
Veterinaru stoje razne mogućnosti za uspostavljanje točne dijagnoze oboljenja mokraćnih puteva. Kamenci i talog mokraćnog mjehura se najidealnije mogu vidjeti na jednoj RTG snimci. Infekcije se mogu ustanoviti sa trakicama za urin, a isto tako i mikroskopskim pregledom sedimenta urina. Pa čak i jednostavni opip (osjetljivost na bol) zamorčića, može odprilike ukazati na oboljenje.
Terapija:
Infekcija mjehura / bubrega: Općenito se prepišu antibiotici, idealno nakon što se ustanovi koji je točno uzrok infekcije. Dobro se podnose Chloramphenicol, Enrofloxacin i Trimethoprim-Sulfonamid kombinacije. Životinja se mora držati na toplom (pod crvenom lampom na jednom dijelu nastambe), i mora unositi puno tekućine. Više o upali mjehura: ovdje
Osnovna terapija za jačanje imuniteta:
- Echinacea D6 + D30 + Lachesis D6 + D30 za aktiviranje nespecifičnih obrambenih mehanizama
Doziranje: 0,1ml / 500g tjelesne težine, 3 x dnevno do poboljšanja, kasnije 1 x na dan u trajanju od 1 tjedan
(napr: 10ml homeopatskih kuglica = 1 kuglica na 500 g tjelesne težine)
Kamenci u mokraćnom mjehuru: Rijetko se kamenci sami po sebi povuku, tj. izbace. Samo ako su dovoljno mali i ako zamorčić puno pije, postoji mala mogućnost da će izbaciti kamenac. U najčešćim slučajevima je nažalost neophodno, kamen operativno odstraniti. Smisleno bi bilo kamen na sastav pregledati. Tako bi se moglo, nakon uspješne operacije, sastaviti odgovarajuća dijeta za zamorčića, kojom bi se izbjeglo novo stvaranje kamenca. Takva dijeta najčešće sadrži redukciju hrane koja je bogata kalcijumom.
Talog u mokraćnom mjehuru: Kod stvaranja taloga u mokraćnom mjehuru, je najčešće potrebno promijeniti način prehrane. Suha hrana, peleti i tovna hrana se moraju kompletno iz prehrane izbaciti! Mora se temeljito paziti na unos fosfora i kalcija, koji mora biti u omjeru 1:1,5. Sadržaj fosfora i kalcija u hrani možete naći u ovoj tabeli namirnica. Važno: promjena ishrane ne znači da se mora izbacitii hrana koja sadrži kalcij, jer bi to dovelo do opasnog poremećaja ravnoteže minerala u organizmu, te može dovesti do omeksanja kostiju i problema sa zubima! Sasušene mirodijske biljke vrijede kao koncentrat-hrana te mogu probleme sa talogom u mokraćnom mjehuru pojačati, jer imaju visoki udio kalcijuma. Ni u kojem slučaju se ta hrana zimi smije ukinuti, jer je zimi nemoguće ponuditi te biljke u svježem stanju (radi se livadnom zelenilu - ne o povrću!), te može doći do masivnog nedostatka proteina!
Pacijenti koji imaju probleme sa talogom u mokraćnom mjehuru stoga moraju i zimi svakog tjedna dobivati mješavinu sasušenih mirodijskih biljaka, listova i cvijetova -cca 20 g po životinji na tjedan su dovoljni. Zdravi zamorčići smiju i više od toga dobivati.
Što mnogi vlasnici ne znaju: Sijeno ima jednu puno višu koncentraciju kalcijuma od većine sasušenih mirodijskih biljaka (1-3 g na 100g!). Svejedno se sijeno, naravno, ne smije ukinuti, ali bi se zato ljeti trebalo upotpunit sa travama i livadnim biljkama.
Svježe livadne biljke i poneke vrste povrća imaju također naizgled puno kalcija, ali kako se sa tom hranom i puno tekućine unosi, urin se razrijedi te se kalcijum lakše izbacuje. Zatim je omjer između kalcija i fosfora kod skoro svih mirodijskih biljaka uravnotežen. To je ključno u razgradnji kalcija u organizmu. I sadržaj ostalih hranjivih tvari u mirodijskih biljaka je optimalan za zamorčiće. Povrće i zelenilo se dakle ne smiju reducirati! Količina kalcija u svim vrstama povrća je relativno mala. Povrće se nikada ne smije reducirati i nije potrebno izbaciti vrste povrća koje na prvi pogled sadrže veću količinu kalcija. Sa svim vrstama svježeg povrća se unosi i dovoljna količina tekućine koja pospješuje izbacivanje kalcija. Svo zelenilo i povrće se smiju i moraju svježe i dalje u normalnim količinama hraniti, zapravo bi se trebalo ponuditi i više povrća i zelenila, kako bi se više vode unijelo i kako bi se talog time bolje isprao!
Kod svih oboljenja mokraćnih puteva su se kao vrlo korisnim pokazali razni mirodijski čajevi, svježe mirodijske biljke i u manjim količinama i specijalne sasušene i svježe mirodijske biljke. Naročito se moraju spomenuti: maslačak (cijela biljka i korijen, svježi ili sasušeni ili kao čaj) - sadrži dosta kalcija, ali pozitivno djeluje na upale, tako da se usprkos tome naročito preporučuje. Maslačak djeluje diuretski i ispirajući, a svježim se unosi i tekućina. Također imaju pozitivno djelovanje: sasušena kopriva (u obliku čaja), listovi breze (svježi ili sasušeni u malim količinama i kao čaj), čaj od kamilice se također daje, djeluje protuupalno. Stolisnik i uskolisni trputac (bokvica, bukvica, duga bokva, konjsko rebro, krepotec, mala bokvica, muska...) se također mogu u manjim količinama sasušeni ponuditi. Više o ljekovitim biljkama: ljekovito bilje
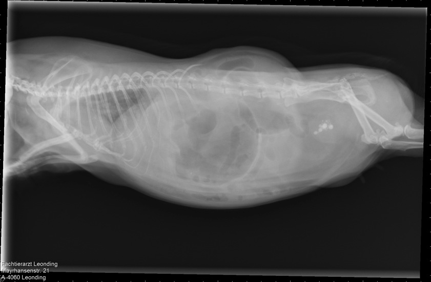
Slika 4,5 godina stare zamorčice Dixie, sa dijagnosticiranim kamencima u mjehuru, popraćenim plinovima u probavi, jer je zamorčica odbila hranu:


Terapija: Sab Simplex i ručno prihranjivanje zbog probave i razbijanja zraka. Metacam zbog bolova, 3 dana po 1 kap, zatim pauza, jer Metacam ide na bubrege. Probiotik, Pro Pre Bac, zatim kašica od kakice zdravog zamorčića.
Nakon tjedan dana, započeta terapija antibiotikom, Enrofloxacin, 0,1ml na dan
Popraćena terapijom za razbijanje kamenaca, Lysium™, 300 mg Tablete, 2 tablete na dan.
Čajevi od crnog sljeza za oporavak sluznice u crijevima i mjehuru, čaj od koprive, čaj od komorača i anisa kao baza za kašice.
Novalgin kapi 500mg/ml, 1-2 kapi na dan, po potrebi, za olakšavanje boli.
Dixie i dalje odbija sama jesti. Zadržava se u toploj vreći koja je postavljena na stalno zagrijavani Snuggle Safe jastučić. Očito ima temperaturu, pa joj toplina odgovara. Odvojena je ogradicom od ostalih zamorčića, kako bi bila pod kontrolom.

|














|